Spondilolistesi degenerativa

La spondilolistesi degenerativa è una condizione frequente in soggetti oltre i 50 anni, ed è maggiore nelle donne. La vertebra più colpita dallo scivolamento (olistesi) è L4 (fig.1), seguita percentualmente da L3 (fig.2). L'entità dello scivolamento vertebrale è molto variabile, ma non supera mai il grado 2 di Mayerding (fig.3) , cioè il 25%-50% di scivolamento rispetto alla vertebra sottostante.

  • Figura 01

  • Figura 02

  • Figura 03

La vertebra olistesica può essere instabile, realmente o potenzialmente. Tale situazione di differente instabilità deve essere valutata mediante radiogrammi dinamici (figg.4-5) nella proiezione laterale, in massima flessione e massima estensione. Nel senso comune, si intende come spondilolistesi uno scivolamento del corpo vertebrale sul piano laterale (fig.6), ma in patologie combinate di scoliosi degenerativa e spondilolistesi degenerativa (di frequente osservazione nella pratica clinica) si assiste a quadri di scivolamento ed instabilità rotatoria, dove si associano immagini di olistesi sia sul piano frontale (coronale) che sagittale (figg.7-8).

  • Figura 04

  • Figura 05

  • Figura 06

  • Figura 07

  • Figura 08

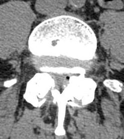
Una spondilolistesi degenerativa, in presenza di integrità dell'arco posteriore (non come nella spondilolistesi istmica) che scivola insieme al corpo vertebrale, causa sempre una ristrettezza del canale vertebrale (fig.9).

Spesso si assiste ad un quadro clinico di lombalgia cronica di tipo meccanico, che si accentua in posizione eretta prolungata e nella deambulazione, ed invece tende a sparire in posizione supina. In presenza di una concomitante stenosi centrale o laterale, spesso si associano sintomi radicolari, monolaterali o bilaterali. La diagnosi strumentale è essenzialmente radiografica, basata sui radiogrammi standard (fig.10) e dinamici in proiezione laterale (figg.4-5). La TC è comunque utile (fig.11) per evidenziare una stenosi lombare associata (figg.12-13), e per una diagnosi differenziale rispetto alle spondilolistesi istmiche. Anche la RNM ha un ruolo importante (fig.14), potendo evidenziare ernie discali associate (fig.15) o patologie sinovitiche delle articolazioni posteriori degenerate.

  • Figura 09

  • Figura 10

  • Figura 11

  • Figura 12

  • Figura 13

  • Figura 14

  • Figura 15

Il trattamento chirurgico di una spondilolistesi degenerativa, in presenza di una lombalgia cronica, intensa e continua, consiste in una artrodesi postero-laterale strumentata (fig.16), eventualmente in associazione ad una fusione intersomatica con cages (fig.17).

Nei pazienti con presenza di sintomi radicolari, quindi con associazione di spondilolistesi e stenosi lombare sintomatica, è sempre preferibile eseguire una laminoartrectomia bilaterale decompressiva dopo aver stabilizzato lo scivolamento vertebrale con viti peduncolari e barre. La riduzione dello scivolamento della vertebra colpita, sebbene spesso possibile grazie alle attuali tecniche chirurgiche (fig.18), non sembra essere necessaria per ottenere un miglior recupero clinico rispetto alla semplice stabilizzazione.

  • Figura 16

  • Figura 17

  • Figura 18